BIONATOR
A removable orthopedic appliance used to correct moderate to severe overbites in younger children. By being free-floating between the upper and lower jaws, it helps redirect growth in a more favorable pattern and lessens the time that the patient will need to wear braces. It is to be worn full-time, with the exception of eating and sports, and the initial difficulties with speech are usually overcome with practice.
LIP BUMPER
A removable bar that connects to bands on the lower arch, used to preserve space during the transition from baby teeth to permanents and assist in uncrowding. It precedes braces and is worn full-time, with the exception of sports.
REMOVABLE EXPANDER
A removable upper appliance used in adolescents to gradually expand the palate, assist in uncrowding and coordinating the upper with the lower. A key is used to activate it every few days and it is worn full-time, with the exception of eating and sports.
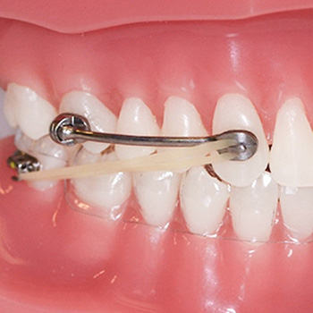
CARRIERE
A fixed or cemented appliance used to correct overbites or underbites in adolescents with the eruption of their permanent teeth. Bars are adhered between the canines and molars and rubber bands are worn to the opposing arch, along with a clear retainer. This is used to correct a bite discrepancy prior to braces and usually reduces the length of time that the braces are necessary.
HEADGEAR
A removable bow that attaches to bands on the upper molars and is connected to an elastic band that extends around the head or neck. It is used in adolescents to assist in the correction of the bite prior to braces. It is only worn while at home and is removed for eating.




